
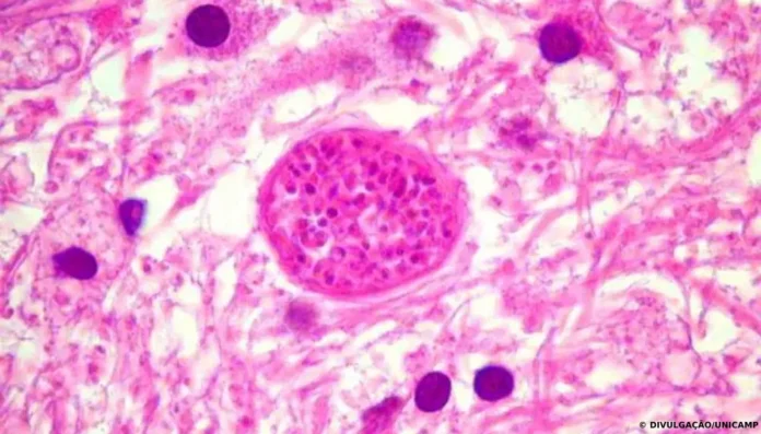
Ele é invisível, silencioso e pode estar influenciando como você age. Estima-se que 1 em cada 3 pessoas no mundo carrega o Toxoplasma gondii, um parasita transmitido por carne malcozida, alimentos contaminados ou contato com fezes de gatos.
Embora pareça inofensivo, estudos revelam que ele pode alcançar o cérebro humano e interferir em áreas ligadas ao medo, emoções e impulsos. Algumas pesquisas associam sua presença a mudanças de personalidade e até a distúrbios psiquiátricos como esquizofrenia.
O mais curioso? Em roedores, ele elimina o medo de gatos, facilitando seu ciclo de vida. E em humanos? Ainda é um mistério — mas o debate sobre quanto controle temos sobre nossas escolhas está mais vivo do que nunca.


