Facebook
Instagram
Mail
X
Youtube
Início
Cidades
Política
Polícia
Economia
Brasil
Mundo
Esportes
Cultura
Entretenimento
Buscar
sábado, 18 de abril de 2026.
Facebook
Instagram
Mail
X
Youtube
Entrar
Bem-vindo! Entre na sua conta
seu usuário
sua senha
Forgot your password? Get help
Política de privacidade
Recuperar senha
Recupere sua senha
seu e-mail
Uma senha será enviada por e-mail para você.
AM News
Início
Cidades
Política
Polícia
Economia
Brasil
Mundo
Esportes
Cultura
Entretenimento
Início
Tags
#ToxoplasmaGondii
Tag: #ToxoplasmaGondii
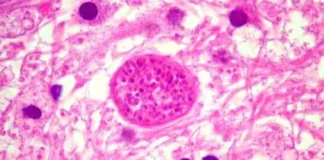
Ciência
O parasita invisível que pode moldar o seu comportamento
Portal AM News
-
5 de julho de 2025
Ele é invisível, silencioso e pode estar influenciando como você age. Estima-se que 1 em cada 3 pessoas no mundo carrega o Toxoplasma gondii,...